THE PIGGYBACK TECHNIQUE (double wire technique )
THE PIGGYBACK TECHNIQUE (double wire technique )
The Piggyback is a unique technique where one rigid wire takes care of the arch form and a more flexible wire like Niti is used to get the individual tooth into the main arch form sequentially.
To save time and reduce the number of visits orthodontic practitioners in use with it today's .
Many orthodontic treatments as alignment of ectopically placed canines or incisors can be challenging and time consuming so many techniques are used to align such teeth .
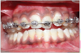
In the previous figures the central incisor moved further down with piggy back technique in leveling phase.
So impacted central incisor was in occlusion in three months by using The Ni-Ti wire in addition to the leveling base wire then NiTi was removed and the incisor was secured directly to the base wire and left for another 3 months for retention purpose. The central maintained its vitality and there was no evidence of root resorption. Post-treatment, the patient showed esthetically pleasing gingival contour and a normal clinical crown length.
The following cases show the dual wire orthodontic technique ..
Canine impactions are common cases which need more and more visits but with this technique using NiTi wires with base ss wires, also with corticotomy assisted orthodontic treatment results can be reached faster .
Related topics
👆corticotomy assisted orthodontic treatment
For more informations download orthodontic fixed appliances book





This comment has been removed by the author.
ReplyDelete